近日,阆中市人民医院成功为一名未成年患者完成了一例下颌角骨折口内切口入路的隐蔽性手术。该手术采用了更为精细的操作方式,具有创伤小、恢复快的特点,为患者提供了优质的手术治疗方案。
2025年1月13日,17岁的患者邓某在放学途中遭遇交通事故,颅面部受到剧烈撞击。伤后,邓某感觉头面部、口腔内以及左上肢等多处疼痛难忍,同时头面部和口腔内出现活动性出血,随即拨打120急救电话,被紧急送往阆中市人民医院。
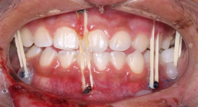
由于患者面部多处擦伤以及下唇部撕裂伤,且查体时发现,患者存在咬合紊乱的情况,张口时右侧歪斜。立即为患者进行下颌骨平扫+三维重建检查,结果显示:患者左侧下颌角处骨折,骨折线累及邻近牙槽突;前中颅底多处骨折,包括额骨右份、右侧眼眶顶壁、内侧壁及蝶窦壁、右侧蝶骨大翼及左侧上颌窦外侧壁多处骨折,蝶窦及右侧筛窦、上颌窦内有积液积血。
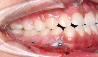
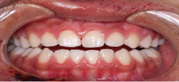
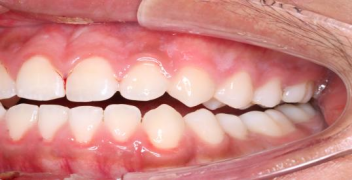
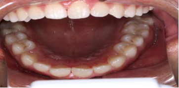
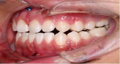
患者左侧下颌角处纵行离断骨折,致使下颌骨活动受限、张口度受限、咀嚼困难、咬合错位,严重影响了正常进食,必须进行手术治疗。鉴于患者为未成年男性,对美观的需求较高,口腔科经综合评估后,决定采取口内切口入路的手术方式,以此避免面部瘢痕的形成,这对于维护患者面部美观,在心理和社会层面都具有重要意义。









采用口内切口入路的手术路径,有效避开了面部重要的神经和血管等结构,大大降低了对面神经下颌缘支等重要结构的损伤风险,从长远来看,有助于避免面瘫、大出血等严重并发症的发生,切实保障患者的健康与安全。另外,由于该手术创伤相对较小,患者在术后通常能够较快地恢复咬合关系和口腔功能,减少对日常生活的影响,同时能够最大程度地保持患者面部美观,这些对于患者的身心健康和生活质量都具有深远的影响。
一直以来,阆中市人民医院始终坚守“以患者为中心”的理念,致力于为每一位患者量身定制最优质的治疗方案。此次手术的圆满成功,便是医院践行这一理念的生动体现。展望未来,阆中市人民医院将持续加大在医疗技术创新领域的投入力度,确保每一位患者都能在医院享受到优质、贴心且个性化的医疗服务,更好地守护群众的身体健康和生命安全。(口腔科)
扫一扫在手机打开当前页