近日,61岁的杨某因意外车祸遭受颅颌面部、胸部等多处损伤,且伴有活动性出血,由阆中市中医院紧急转入我院治疗。
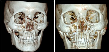
我院神经外科接收患者入院后,立即进行上下颌骨 CT 平扫及三维重建,结果显示:双侧上颌骨、颧弓、颧骨、鼻骨多发粉碎性骨折。神经外科紧急联系口腔科会诊,口腔科医生对患者严重的颅颌面伤情进行了细致检查,鉴于患者病情,建议待专科病情平稳后转至口腔科进行面部多发性粉碎性骨折手术治疗。
患者脑外伤病情趋于稳定转入口腔科后。口腔科周翊飞主任团队对其进行了全面的术前评估。考虑到患者存在双侧上颌骨、颧弓、颧骨、鼻骨多发粉碎性骨折,尤其是上颌为LefortⅠ型骨折,致使上颌牙弓下沉,咬合关系紊乱。这一情况不仅影响面部美观,还导致咀嚼功能完全丧失,无法经口正常进食。由于粉碎性骨折手术复位难度极高,团队决定采用数字化外科技术辅助设计并拼接骨折断端,模拟重建咬合关系并 3D 打印咬合导板,以此辅助颌面部多发性粉碎性骨折复位固定。

术前CT(三维成像)

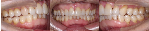
术前分析:咬合照片

术前分析:咬合照片

打印术前模型


手术设计

打印术前术后模型
完善术前检查后,口腔科团队依据术前规划设计的方案,在导板的精确序列引导下,为患者实施了“双侧上颌骨及颧骨、右侧颧弓及鼻骨骨折切开复位内固定术、骨折颌间固定术、咬合重建术”。术后,患者骨折断端复位固定效果可靠,咬合关系恢复良好,面部基本对称,手术成效较为理想。

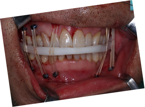
术中咬合板就位

术中骨折断端精确复位

术前术后咬合对比

术前术后CT对比
在万物互联的时代大背景下,我院口腔科的数字化医疗技术应用已涵盖口腔医疗的各个领域,为口腔临床诊疗的质量与效率提供了强大的技术支撑,给患者带来了更大的便利,显著提升了治疗的体验感。
扫一扫在手机打开当前页