国家三级甲等综合医院
爱婴医院
川北医学院非直管附属医院
智慧医院
全站导航
首页 > 新闻动态 > 医院动态

我院成功救治1例剖宫产术后子宫瘢痕妊娠

更新时间:2019/12/17 10:24:11 来源: 阅读:

——我院妇科开启多学科联合诊疗模式

病例回顾:患者赵女士,31岁,有再生育要求。因“停经41天,阴道少量流血12天” 于2019年11月21日08时59分入院。患者既往有院外剖宫产手术史。入院前阴道超声提示:宫前壁切口处肌壁内查见一大小约2.0*32.5px的孕囊样回声,内未见卵黄囊及胚芽,CDFI显示周边可见较丰富血流信号,该处肌层菲薄,厚约3.75px。遂收住住院治疗。入院诊断:剖宫产术后子宫瘢痕妊娠(3型)。

剖宫产术后子宫瘢痕妊娠(CSP)是指受精卵着床于前次剖宫产子宫切口瘢痕处的1种异位妊娠。CSP的发生率为1:2216―1:1800,占有剖宫产史妇女的1.15%,占有前次剖宫产史妇女异位妊娠的6.1%。根据超声检查显示的着床于子宫前壁瘢痕处妊娠囊的生长方向以及子宫前壁妊娠囊与膀胱子宫肌层的厚度进行分型属于Ⅲ型。由于CSP可以造成清宫手术中及术后难以控制的大出血、子宫破裂、周围器官损伤,甚至切除子宫等,严重威胁妇女的生殖健康甚至生命。对于育龄妇女来说,切除子宫意味着什么呢——失去生育能力,失去做母亲的资格,这对于个人及家庭来说都是严重打击。

该患者孕囊位于子宫切口处肌壁内,且该处肌层菲薄,厚约3.75px(如图1,2,3)。出血风险及子宫穿孔风险极大。为了保留生育功能,确保患者生命安全,我院妇科积极发起多学科联合诊疗(MDT)会议,特邀请放射科、麻醉科、超声科等相关科室开展讨论,一致决定先由放射科行子宫动脉栓塞术并灌注甲氨蝶呤杀胚治疗(微创介入),72小时之内再行清宫术。最终,该患者在放射科顺利完成甲氨蝶呤灌注和双侧子宫动脉栓塞(如图4-5)的情况下,第二天由妇科在超声科床旁监护下成功完成清宫术(如图6),宫腔镜检查宫腔及切口处无异常。术中出血仅有5ml(出血量较常规清宫术明显减少),并于术后第三天康复出院。

image.png 

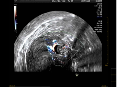
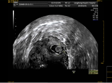
图1:切口妊娠-孕囊与肌层关系

image.png 

图2:切口妊娠-孕囊大小

image.png 

图3:切口妊娠-孕囊血流图像

image.png 

图4:子宫动脉造影,血管迂曲,血供丰富,染色深浓。

image.png 

图5:子宫动脉栓塞后造影,子宫动脉主干、包括支配卵巢和阴道的血管保留,子宫染色消失。 

image.png 

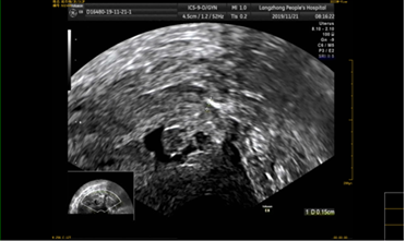
图6:超声引导下子宫瘢痕处妊娠病灶清除术加宫腔镜检查术

目前,我院妇科与放射介入室密切合作,已成功开展多例瘢痕妊娠子宫动脉栓塞治疗、前置胎盘子宫动脉栓塞治疗、清宫后出血治疗、子宫肌瘤微创介入治疗、子宫输卵管造影、输卵管阻塞再通术、妇科肿瘤灌注化疗、CT引导下穿刺活检或引流及卵巢囊肿硬化治疗等微创介入诊疗项目,取得了阶段性成果。为广大女性患者健康保驾护航。

值得了解

子宫动脉栓塞术:是通过介入方法用栓塞物(如明胶海绵)将子宫动脉栓塞,以达到快速止血的作用。主要用于子宫急性大量出血时可行急诊栓塞,也用于异位妊娠出血,瘢痕子宫胎盘植入清宫术前预防出血。它作为一个有效的止血微创手术,为产科止血又提供了一个有效手段;它作为一种血管介入手术,无需开刀,损伤小,通过股动脉穿刺,超选择性插管术,将造影导管超选进入子宫动脉(如图4),再用明胶海绵栓塞子宫动脉以达到止血作用(如图5)。

由于考虑到年轻女性可能有再生育的需求,所以一般首选明胶海绵(>500um)进行栓塞。明胶海绵作为中期栓塞材料,能在30天左右自动被机体吸收再通,不会对患者子宫、卵巢的血管造成长期栓塞,不会影响患者以后的月经及再次怀孕,且原出血点经过一段时间的治疗恢复不再出血,从而达到治疗子宫瘢痕妊娠清宫出血过多和保护子宫的目的。

妇科特色:

一、宫腹腔镜微创手术,如:腹腔镜广泛性子宫切除术加盆腔淋巴结清扫术、腹腔镜全子宫切除术、腹腔镜子宫次全切除术、腹腔镜子宫肌瘤剥除术、腹腔镜卵巢囊肿剥除术、腹腔镜子宫内膜异位病灶电灼术、宫腹腔镜联合不孕症诊治术、腹腔镜异位妊娠病灶切(清)除术、腹腔镜输卵结扎术、宫腔镜下粘膜下子宫肌瘤切除术、宫腔镜下宫腔粘连分解术、宫腔镜下异物取出术、宫腔镜下子宫内膜息肉切除术、宫腔镜下子宫内膜活检术等。

二、阴式手术,如:经阴道子宫全切术、阴道前后壁修补术、陈旧性会阴裂伤修补术。

三、妇科介入手术,如:子宫瘢痕妊娠、晚期宫颈癌、子宫输卵管造影等。

四、应用阴道镜、TCT、HPV检测、LEEP刀等检查及诊疗手段,对宫颈疾病(特别是早期宫颈癌)进行规范化筛查、诊断及治疗。

五、各种计划生育技术包括:药物流产、无痛人流、安环取环、28周以下非计划怀孕终止妊娠。

六、不孕不育的诊断治疗,如:盆腔粘连分解术、输卵管再通术、子宫输卵管通液术等。

七、妇女保健,如:围绝经期激素替代治疗、盆底功能康复、盆腔脏器脱垂悬吊术等。

联系方式:

主  任:席会兰

副主任:杨  德

护士长:蒋菊红

科室电话:0817-6283582(护士站)

住院部地址:古城院区住院部7楼

门诊部地址:古城院区门诊大楼2楼妇科诊疗区

七里院区门诊大楼4楼妇科诊疗区

扫一扫在手机打开当前页

联系方式

医院地址:七里院区:阆中市巴都大道西段2号
古城院区:阆中市张飞南路85号

联系电话:0817- 6222750 6234719

微信公众号

Copyright © 2023 , All Rights Reserve. 阆中市人民医院.版权所有 备案号:蜀ICP备19010863号-7 川公网安备 51138102000106号 技术支持:安古信息
ipv6 ready